TWICE: DUPLICAZIONE E RIPARAZIONE PROTESI A NOVARA
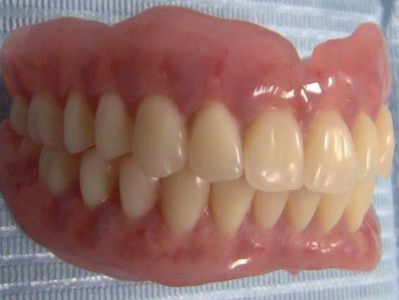
Con la metodologia Twice, siamo in grado di realizzare la copia di qualsiasi protesi dentale rimovibile, quindi di qualsiasi dentiera, sia totale che parziale, con o senza ganci.
Contatti
I portatori di dentiera sanno bene che la protesi si può rompere in qualsiasi momento, con la conseguenza di un notevole disagio, funzionale ed estetico.
Avere a disposizione un duplicato permette di affrontare qualsiasi evenienza proseguendo la propria vita, con tranquillità, senza perdere il sorriso.
La copia della dentiera e’ perfettamente uguale all'originale e quindi non provoca alcun disagio nell'uso. Si consiglia, anzi di alternare con regolarità originale e duplicato allo scopo di ottenere un’igiene accurata.
Il semplice distacco di un dente, per non parlare di rottura della dentiera in due pezzi creano problemi notevoli.
Possedere un duplicato è la soluzione perfetta, a disposizione in qualsiasi momento.
E mentre voi utilizzate il duplicato della vostra dentiera, noi di Twice provvederemo a riparare l’originale.
Non rimarrete mai senza sorriso!










